前幾天,我替一位只有 28 歲的病人做大腸鏡

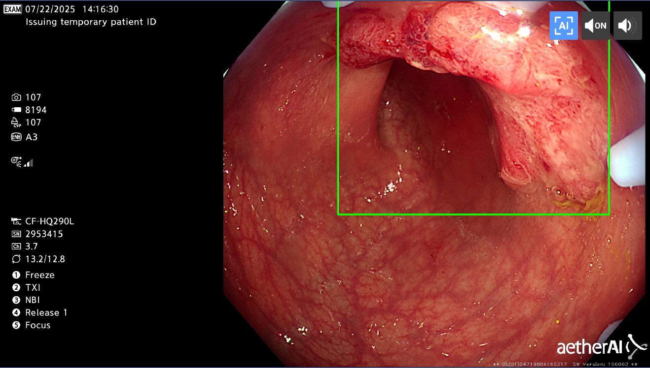
前幾天,我替一位只有 28 歲的病人做大腸鏡,他原本只是順便檢查,事前沒有任何症狀,結果居然確診是大腸癌。當我告訴他時,他沉默了很久,眼神裡除了震驚,還有一種「怎麼可能是我」的無助,那份沉重,讓人真的喘不過氣。
很多人覺得大腸癌是五、六十歲以後才會遇到的事,但近幾年,年輕患者越來越多。更可怕的是,早期幾乎沒有明顯症狀,有時只是偶爾大便帶血、排便習慣改變,或體重悄悄下降,就被當作痔瘡、腸胃炎拖了好幾個月。
一次大腸鏡檢查,也許就能改變整個人生。
我身為醫師,真的不希望再看到有人因為「覺得還年輕」而錯過了治療的黃金時間。你不一定要害怕,但請你一定要重視。
健康檢查,不是等出事才做,更不是為了嚇自己,而是給自己一個未來還能放心生活的機會。
#陳保中醫師 #大腸癌 #年輕型大腸癌 #大腸鏡檢查 #腸胃健康

 

TOP